Tabacco riscaldato (IQOS Iluma), lamina tagliente negli stick Terea: i bambini potrebbero ingerirla con rischi molto gravi
I bastoncini utilizzati dal dispositivo per il tabacco riscaldato di Philip Morris hanno all'interno una parte metallica con angoli appuntiti. E c'è la possibilità concreta, già documentata con "case report" all'estero, che queste sigarettine vengano accidentalmente ingerite da bambini, anche di pochi mesi, con rischi molto gravi di lesioni gastro-intestinali. E, da quanto ci è noto, ci sono stati diversi casi anche in Italia di bimbi, anche sotto l'anno di età, che le hanno ingerite. Pericoli anche per gli animali domestici. L'avvertenza in etichetta è illeggibile e, se adulti e operatori sanitari non ne sono consapevoli, è più difficile intervenire in modo tempestivo.
    In pochi probabilmente lo sanno, ma all’interno di questi stick di tabacco – Terea, di Philip Morris – c’è una lamina metallica tagliente. Serve al dispositivo (Iqos Iluma) per riscaldare il tabacco.
In etichetta? Solo una minuscola frase di avvertimento, praticamente illeggibile.
Il problema non è di poco conto: c’è infatti il pericolo concreto che queste sigarettine, proprio per le loro piccole dimensioni, vengano accidentalmente ingerite da bambini (leggi la conferma nella nostra news), anche di pochi mesi, con rischi molto gravi, già documentati all’estero, non solo di intossicazione da tabacco, ma anche di potenziali lesioni gastro-intestinali.
E, da quanto ci è noto, ci sono stati già diversi casi di bambini - anche sotto l'anno di età - che hanno accidentalmente ingerito Terea anche in Italia e segnalati dal Centro Antiveleni di Milano nel corso di un webinar organizzato nell'ambito della Joint Action Tobacco Control.
Concreto è anche il rischio che gli stick o i mozziconi, abbandonati per strada, possano essere ingeriti da cani e altri animali domestici.
La lamina all’interno dello stick
Sul sito di Philip Morris i dettagli sulla lamina ci sono. Ecco cosa si spiega.
“TEREA SMARTCORE STICKS è il nuovo stick di tabacco prodotto (…) per essere utilizzato solo con IQOS ILUMA™ (…) Il nuovo SMARTCORE INDUCTION SYSTEM™ senza lamina, utilizza un innovativo elemento riscaldante in metallo posizionato all’interno dello stick e rivestito in acciaio inossidabile, per riscaldare il tabacco in maniera continuativa. Ciò significa che quest’ultimo viene riscaldato dall’interno per offrirti il vero gusto del tabacco”.
Ed ecco la "lametta" che permette di mantenere “il vero gusto del tabacco”.

Sul sito della Philip Morris è anche riportato “Non ingerire o smontare TEREA SMARTCORE STICKS™. Questo prodotto contiene una parte metallica tagliente che può causare gravi lesioni se ingerita. Tenere fuori dalla portata di bambini e animali domestici".
Ma non si può certo pensare che le informazioni sul sito bastino per rendere gli utilizzatori consapevoli dei rischi di questo prodotto: quanti utilizzatori potranno mai andare online per informarsi prima di acquistarlo?
Quali sono i rischi della lamina?
La lamina, lunga 1,2 centimetri, larga 4 millimetri e dello spessore di 0,06 millimetri, ha spigoli vivi (cioè appuntiti, non arrotondati) con bordi taglienti; e questo può essere molto rischioso se messo insieme al fatto che l'ingestione di corpi estranei è un problema comune tra bambini di pochi mesi/anni che, per la loro tipica attività esplorativa, hanno la tendenza a portare oggetti in bocca.
E una lamina metallica di questo tipo può causare complicazioni anche molto gravi, come lesioni e perforazioni della mucosa gastrointestinale, nonché ferite alle mani in caso di manipolazione.
Il problema è anche che questo "dettaglio", con ogni probabilità, non è sufficientemente noto agli utilizzatori di Terea e neanche a medici e pediatri, che potrebbero pensare alla sola intossicazione da nicotina e non procedere a determinati esami, come ad esempio una radiografia, per individuare la lamina e capire come agire di conseguenza. E una diagnosi tardiva non può che aggravare i rischi delle complicanze.
Ci si potrebbe chiedere: come è possibile che un bambino ingerisca accidentalmente uno stick di Terea? Impossibile lasciarli a portata di mano di bambini così piccoli.
E, invece, quello che potrebbe sembrare solo un rischio teorico o remoto, in realtà, è già diventato realtà: in letteratura sono infatti riportati due casi di ingestione accidentale da parte di neonati in Giappone, dove il dispositivo che utilizza le Terea, Iluma, è arrivato già dal 2021 e dove, quindi, i rischi sono emersi prima (in Italia è arrivata a fine 2022).
I casi di due neonate documentati in Giappone
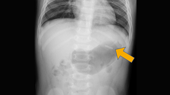
Un caso riguarda una neonata di 7 mesi. La bimba è stata portata al Pronto soccorso per sospetta ingestione di stick Terea anche se non presentava alcun sintomo legato all’avvelenamento da nicotina; la radiografia, poi, ha individuato la lamella nella seconda parte del duodeno (nessuna traccia invece dello stick).

Qui in alto l'immagine della radiografia alla bimba tratta dal case report (abbiamo evidenziato con una freccia la presenza della lamina). Fonte immagine: Higashi, K., Koike, Y., Sato, Y. et al. Extraction of a metallic susceptor after accidental ingestion of the heated tobacco stick TEREA™: a case report. BMC Pediatr 23, 452 (2023). Licenza Creative Commons
A quel punto, per la rimozione della lamina, la bambina è stata sottoposta a endoscopia, avvenuta per fortuna senza problemi. Consideriamo comunque che l’endoscopia, non è un intervento da prendere alla leggera, in particolare per un neonato: avviene attraverso una sorta di tubo, piuttosto lungo, che viene introdotto dalla bocca e permette di vedere e intervenire lungo il tratto digerente fino all’intestino.
E può comportare dei rischi: di lesioni, perforazioni e infezioni, tant’è che in questo caso è stato utilizzato un particolare “cappuccio” sull’endoscopio proprio per ridurli. Le possibili complicazioni legate all’endoscopia aumentano, inoltre, se l’oggetto da estrarre è affilato o appuntito, come in questo caso.
Il secondo caso documentato è quello di una neonata di 10 mesi. La madre della bimba si è accorta che mancavano alcuni stick di tabacco Terea tra quelli lasciati sul divano e ha portato subito la bimba in ospedale. Essendo passato poco tempo dall’ingestione, si è deciso per una lavanda gastrica, in modo da evitare il rischio di intossicazione da nicotina, ma la radiografia che nel frattempo veniva fatta ha evidenziato un corpo estraneo nello stomaco. La bimba ha poi vomitato, prima ancora della lavanda, sia le foglie di tabacco che la lama, fortunatamente senza nessun sanguinamento.
Questi sono i due casi pubblicati, ma solitamente i cosiddetti “case report” sono solo la punta di un iceberg: con ogni probabilità si tratta del segnale di un problema più diffuso.
È fondamentale che tutti - adulti, medici, Pronto Soccorso e ospedali – siano informati in modo più chiaro e preciso della presenza di questa parte metallica tagliente all’interno degli stick Terea: innanzitutto affinché gli adulti siano molto attenti – come per tutti i prodotti del tabacco – nel non lasciare questi stick a portata di mano dei più piccoli. E poi perché, sapendolo, gli operatori sanitari possono agire nel modo più tempestivo e corretto possibile (ad esempio con una radiografia come nei casi riportati), senza pensare alla sola intossicazione da nicotina.
L'avvertimento in etichetta è illeggibile
L'informazione chiara sulla presenza della lamina deve avvenire innanzitutto a partire dall’etichetta del prodotto, che è la prima cosa che può essere vista dagli utilizzatori. E, invece, guardate di quali dimensioni è la frase che allerta della presenza della lamina.

Abbiamo fatto fatica anche a metterla a fuoco per farne una foto e renderla comprensibile.

Per tutti i rischi che ci sono, Philip Morris dovrebbe intervenire per rendere questa avvertenza il più possibile visibile sul pacchetto, ma potrebbero anche essere progettate confezioni con apertura a prova di bambino.
Quali sono gli effetti dell'avvelenamento da nicotina?
Al rischio dovuto alla lamina tagliente, si aggiunge il rischio di avvelenamento da nicotina: riguarda l’accidentale ingerimento di tutti i prodotti del tabacco ma, nel caso degli stick come questi, potrebbe essere ancora più alto perché sono “sigarettine” piccole e più facili da mettere in bocca con l’aggiunta – oltretutto – del rischio di soffocamento.
Anche a basse dosi la nicotina può provocare effetti tossici, già ben documentati in letteratura con i casi accaduti nella popolazione pediatrica.
Un'intossicazione lieve da nicotina è quella che potrebbe verificarsi nei bambini, ad esempio, con l’ingestione di meno di una sigaretta (di quelle tradizionali) o meno di tre mozziconi (sono le casistiche riportate nel Manuale MSD a cui si fa riferimento in campo medico): i sintomi in questo caso sono solitamente nausea, vomito, mal di testa e debolezza; si risolvono generalmente in modo spontaneo, di solito in 1-2 ore dopo l'ingestione.
L’avvelenamento grave da nicotina causa oltre a nausea e vomito, anche salivazione, lacrimazione, diarrea e debolezza muscolare. I pazienti solitamente lamentano dolori/crampi addominali e, se l'avvelenamento è molto grave, anche aritmie, ipotensione, convulsioni e coma.
La dose di nicotina fatale per un bambino, se ingerita, è di appena 10 mg. Consideriamo che secondo quanto riportato da Philip Morris la quantità di nicotina contenuta in ogni stick (nella sigarettina quindi, non nel “vapore” prodotto) è pari a 4,3-6 milligrammi in base al tipo. Quindi una quantità pari a circa la metà di quella considerata letale per un bambino piccolo.
Cosa fare?
In attesa di interventi necessari e urgenti per proteggere la salute dei più piccoli e non solo (approfondiremo con gli enti preposti), ecco in sintesi i consigli da seguire per chi utilizza gli stick Terea.
- Tenerli lontani dalla portata dei bambini e di animali domestici: l’assunzione accidentale può causare lesioni interne oltre a soffocamento e intossicazione da nicotina.
 
- In caso di ingestione dei bastoncini di tabacco Terea, rivolgersi subito a un medico e informarlo della presenza della lamina.
 
- Non manipolare gli stick aprendoli, perché potrebbero causare lesioni alle mani.
 
- Vanno smaltiti nell’indifferenziata, mai gettati per strada, come nessun tipo di mozzicone. In questo caso, a maggior ragione, perché l’assunzione accidentale da parte di animali potrebbe causarne lesioni interne. Senza contare che si parlerebbe dell’ennesimo materiale senza possibilità di riciclo - il metallo in questo caso - che verrebbe disperso nell’ambiente.
 
Scopri anche dove è vietato l'uso delle sigarette elettroniche.
